헬스
우울·무감동·불안 노인, 치매위험 더 커진다…‘최대 1.4배’전북대학교병원은 정신건강의학과 박종일 교수 연구팀(제1저자)이 미국 컬럼비아대학교 노인정신의학 연구진과의 공동연구를 통해 밝혀낸 노인의 치매 위험에 대한 연구 결과가 국제학술지에 게재했다고 30일 밝혔다.박 교수팀은 이번 연구를 통해 인지저하를 가진 노인에서 우울, 불안, 무감동 등의…2025-05-30 15:36:00
집단주의 韓·개인주의 美, 외로움의 위험성은 같았다외로움이 심혈관 질환 위험을 높이는 것은 집단주의 문화가 강한 한국이나 개인주의 성향이 우세한 미국이나 마찬가지라는 연구결과가 나왔다.미국 펜실베이니아 주립대학 생물행동 건강학과 해럴드 이(Harold Lee) 교수가 주도해 국제역할 저널(International Journal of …2025-05-30 14:33:00
난시 환자 많은 한국, 난시교정용 인공수정체 사용률 낮은 이유는? [기고/김명준]시야가 뿌옇고 흐릿해지면 많은 사람이 백내장을 의심한다. 노화에 따라 따라 눈의 수정체가 혼탁해지는 백내장은 국내에서 가장 흔한 노인성 안질환 중 하나다. 수술을 통해 혼탁해진 수정체를 제거하고 인공수정체로 교체하면 시력을 회복할 수 있다. 백내장 수술은 현대의학에서 가장 성공적인 수…2025-05-30 13:15:00
서울점프정형외과, 주요 관절 수술 1000건 달성서울점프정형외과는 지난달 18일 주요 관절 수술 1000건을 달성했다고 30일 밝혔다. 2023년 7월 개원한 이후 인대 재건술 242건, 반월연골판 수술 258건, 줄기세포 수술 128건, 인공관절수술 104건을 비롯해 다양한 관절 수술 1000건을 달성했다.서울점프정형외과는 서울대…2025-05-30 13:14:00
질병청 “흡연으로 年 7만명 사망…여성 증가폭 더 커”한 해 동안 직접 흡연으로 인해 7만 명 이상이 숨지고, 사회적·경제적 손실이 약 13조 원에 이른다는 연구 결과가 나왔다. 30일 질병관리청의 ‘흡연 기인 사망 및 사회경제적 부담 산출 연구’에 따르면 2022년 직접 흡연으로 인해 숨진 국민은 7만2689명으로 집계됐다. 2022…2025-05-30 10:47:00
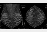
홀로직코리아, ‘Genius AI 2.0’ 테스트서 병변 조기 포착홀로직 코리아는 30일 AI 진단 보조 소프트웨어 Genius AI 2.0 신제품의 도입 초기 테스트 단계에서 유방암 의심 병변을 조기에 포착하며, AI 기술의 진단 정확도와 임상적 가능성을 확인했다고 밝혔다.고려대학교 구로병원 영상의학과에서 진행된 유방 촬영 장비 신제품 테스트 중 …2025-05-30 10:42:00
올빼미족이 인지 저하 취약…주범은 ‘이것’하는 습관늦게 자고 늦게 일어나는 저녁형 인간, 이른바 ‘올빼미 족’이 일찍 자고 일찍 일어나는 아침형 인간보다 인지 기능 저하 위험이 더 높은 것으로 나타났다. 하지만 모든 올빼미 족이 그런 것은 아니다. 네덜란드 흐로닝언 대학교 의료센터(UMCG) 연구자들이 40대 이상 성인 2만 379…2025-05-30 10:05:00
“두피 마사지로 리프팅 효과” 이시영이 공개한 비결은배우 이시영(43)이 리프팅 시술 없이도 효과를 볼 수 있는 두피 마사지 루틴을 공개했다.이시영은 지난 27일 자신의 유튜브 채널에 ‘12가지 리프팅 꿀팁, 효과 보장’이라는 제목의 영상을 게재했다.영상에서 이시영은 “아침에 일어나서 거의 매일 한다”며 “피부과도 다녀보고 시술도 받아…2025-05-30 07:00:00
‘반값 임플란트’ 광고에 혹해…치아-얼굴 다 망친 英여성치과 진료비 부담을 덜기 위해 튀르키예에서 임플란트 수술을 받은 한 영국 여성이 1년 넘게 극심한 후유증에 시달리고 있는 것으로 전해졌다. 얼굴이 부어오르고, 코피와 두통이 반복되며, 일상생활조차 감당하기 힘든 지경이라는 게 그의 설명이다.27일(현지시각) 영국 데일리메일은 잉글랜드 …2025-05-30 06:00:00
커피 마시면 뇌에 무슨 일이?…수면 중 뇌 변화 알아내잠자리에 들기 전 커피를 마시면 밤잠을 설치는 사람들이 있다. 카페인 때문이다. 카페인은 커피뿐만 아니라 차, 초콜릿, 탄산음료, 에너지 드링크 등 우리가 먹고 마시는 식품에 폭넓게 들어 있다. 전 세계인이 가장 널리 사용하는 향전신성 물질 중 하나다.카페인이 수면 활동을 어떻게 바꾸…2025-05-29 15:11:00
체력 좋으면 의료비 절감… 연구결과로 증명됐다서울올림픽기념 국민체육진흥공단(이사장 하형주)이 ‘국민체력100’ 사업이 국민 건강 증진과 의료비 절감에 실질적 효과가 있다는 연구 결과를 발표했다.한국스포츠과학원 박수현 선임연구위원이 수행한 이번 연구는 ‘국민체력100’ 사업의 참여자 데이터를 국민건강보험공단 국민 건강 정보자료와 …2025-05-29 13:50:55
대원제약, 서울바이오허브와 오픈이노베이션 2기 추진… “우수 스타트업 발굴 집중”대원제약은 29일 서울바이오허브와 함께 바이오·의료 스타트업을 대상으로 ‘오픈이노베이션 2기’ 프로그램을 추진한다고 밝혔다. 서울바이오허브는 서울특별시가 조성하고 한국과학기술원 및 고려대학교가 운영하는 바이오·의료 창업 혁신 플랫폼이다.올해 2회째를 맞는 이 프로그램은 대원제약의 신규…2025-05-29 11:47:00
헌 피, ‘새 피’로 바꾸면 젊어질까? 첫 임상시험 결과는…‘새 피’로 교환하면 더 오래 살수 있다는 가설이 부분적으로 입증됐다. 인간을 대상으로 한 소규모 시험에서 혈장분리 교환술과 면역글로불린 정맥주사를 병용한 결과 생물학적 연령이 평균 2.6년 단축된 것으로 나타났다. 하지만 일부 전문가들은 참가자 수가 적고, 장기간 추적 관찰하지 않은…2025-05-29 11:27:00
‘스키터 증후군’, 당신이 몰랐던 모기 알레르기무더위가 다가오면서 불청객인 모기도 함께 찾아온다. 모기 물린 자리가 금세 가라앉는 사람이 있는가 하면, 시간이 지나도 부기와 가려움이 쉽게 사라지지 않는 경우도 있다. 이는 단순한 개인별 체질 차이가 아니라 ‘스키터 증후군’일 수 있다. 스키터 증후군은 모기 타액 속 항응고물질에 면…2025-05-29 09:00:00
‘신혼여행 성지’ 하와이에 지카 바이러스 경보…“기형아 유발”세계적인 관광명소이자 신혼 여행의 성지로 통하는 미국 하와이에 지카 바이러스 감영증과 백일해와 같은 전염병 경보가 발령됐다.하와이 보건 당국(DOH)은 호놀룰루가 있는 오하우 섬에서 발생한 여행 관련 지카 바이러스 감염증 확진 사례 1건과 노출 가능성이 있는 2명을 조사하고 있다고 2…2025-05-29 08:56:00
비즈N 탑기사
‘책 출간’ 한동훈, 정계 복귀 움직임에 테마株 강세
조선 후기 화가 신명연 ‘화훼도 병풍’ 기념우표 발행
붕괴 교량과 동일·유사 공법 3곳 공사 전면 중지
명동 ‘위조 명품’ 판매 일당 덜미…SNS로 관광객 속였다
“나대는 것 같아 안올렸는데”…기안84 ‘100 챌린지’ 뭐길래- ‘전참시’ 이연희, 득녀 5개월만 복귀 일상…아침 산책+운동 루틴
- 국내 기술로 개발한 ‘한국형 잠수함’ 기념우표 발행
- ‘아파트 지하주차장서 음주운전’ 인천시의원 송치
- 학령인구 감소 탓에 도심지 초교마저 학급 편성 ‘비상’
- 상속인 행세하며 100억 원 갈취한 사기꾼 일당 붙잡혀
[단독]제너시스BBQ 김지훈 대표 물러나…영입된 지 불과 5개월 만에 교체
‘영하 20도’ 최강한파 심장도 떨고 있다…‘이 질환’ 주의
삼성전자, CES 2026서 대규모 단독 전시관 운영… ‘AI 리빙 플랫폼’ 조성
올해 전국 아파트 매매가격 6% 올라 4년 만에 최대…서울은 12.5%
계란 한판 한달새 다시 7000원대… 불안한 ‘서민밥상’- 은행권 10월 대출 연체율 0.58%…전월 대비 0.07%p 상승
- “과자에 반도체 입혔더니”…‘SK하이닉스 과자’ 20만개 팔렸다
- ‘최정훈♥’ 한지민은 현금부자…서래마을 34억 빌라 무대출 매입 재조명
- 붉은 말의 해, 살곶이 벌판을 물들이는 생명의 기운[전승훈 기자의 아트로드]
- “억울한”→“잘못된”…쿠팡, 국문·영문 성명서 표현 차이 왜?





