“피 검사로 확진”…소아 모야모야병 조기진단 길 열렸다
뉴시스(신문)
입력 2025-07-31 08:44
서울대병원 연구팀, 모야모야병 ‘바이오마커’ 발견
만성 진행성 뇌혈관질환 모야모야병, 뇌졸중 유발
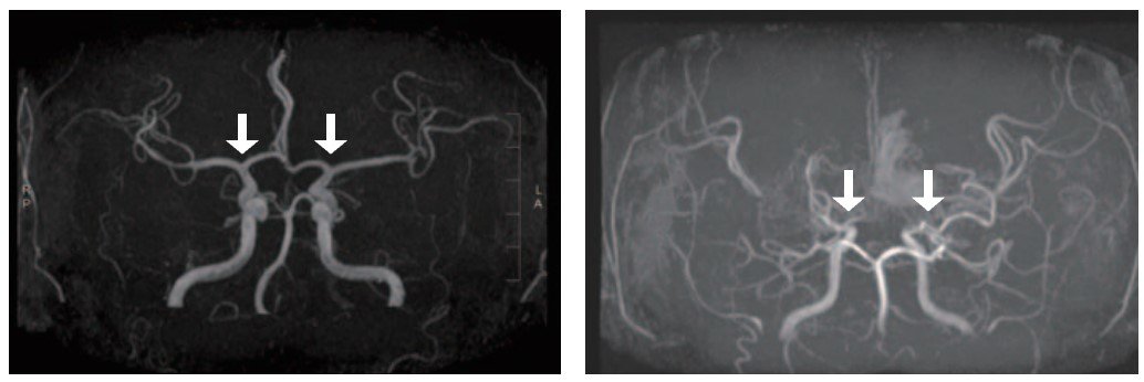
ⓒ뉴시스
간단한 혈액 검사만으로도 소아 모야모야병을 조기 진단할 수 있는 길이 열렸다.
서울대병원은 김승기 소아신경외과 교수 연구팀이 소아 모야모야병(MMD)을 혈액 검사만으로 조기에 진단하고 치료 반응을 예측할 수 있는 새로운 바이오마커 ‘miR-512-3p’를 발견했다고 31일 밝혔다.
연구팀은 miR-512-3p 수치가 모야모야병 환자에서 대조군에 비해 현저히 높다는 사실을 밝혔으며 이 바이오마커가 비정상적인 혈관 생성과 밀접하게 연관돼 있음을 확인했다.
모야모야병은 특별한 원인 없이 대뇌에 혈액을 공급하는 내경동맥의 혈관이 서서히 좁아지는 만성 진행성 뇌혈관질환이다. 이로 인해 혈류가 부족해 지고, 부족한 혈류를 보충하려는 비정상적인 미세혈관이 자라나지만, 이 혈관들은 충분한 혈액을 공급하지 못하고 터지기 쉬워 뇌경색 뇌출혈과 같은 심각한 소아 뇌졸중을 유발하게 된다.
기존에는 모야모야병을 확진하기 위해서는 침습적인 뇌혈관 조영술이 표준 검사였고, 이는 소아에게 큰 부담을 줬다. MRI(자기공명영상)·MRA(자기공명혈관조영술)과 같은 비침습적 검사도 있지만, 모야모야혈관을 자세하게 평가하기 어려워 조기 진단에는 한계가 있었다.
연구팀은 모야모야병 환자 23명과 건강한 대조군 13명의 혈액에서 세포외소포(EV)를 분석해 ‘miR-512-3p’라는 바이오마커를 발견했다. 세포외소포는 ‘miRNA’와 같은 유전자 정보를 포함하고 있으며, 세포 간 신호 전달에 중요한 역할을 한다.
연구팀은 ‘miR-512-3p’가 혈관 형성 조절 경로인 ‘RHOA’ 경로에 영향을 미쳐 ‘ARHGEF3’ 유전자의 발현을 억제하고, 이로 인해 혈관 생성을 방해함을 확인했다. ‘miR-512-3p’의 기능을 억제한 후, ‘GTPase’ 활성이 2.3배 증가하고 혈관 형성 능력이 1.7배 향상됐으며, 이는 ‘miR-512-3p’가 모야모야병의 진단 마커일 뿐 아니라, 치료 표적으로서 중요한 역할을 할 수 있음을 시사한다.
miR-512-3p의 진단 정확도는 AUC 0.82로 평가됐으며, 이는 모야모야병의 우수한 진단 정확도를 가진 바이오마커임을 보여준다.
김승기 서울대병원 소아신경외과 교수는 “이번 연구는 혈액 검사를 통해 모야모야병의 조기 진단이 가능하다는 것을 입증한 중요한 연구”라며 “이 바이오마커를 활용해 소아 환자들이 혈액 검사만으로 질병을 조기에 진단받고, 맞춤형 치료를 받을 수 있기를 기대한다”고 말했다.
이번 연구 결과는 국제 학술지 ‘사이언티픽 리포츠(Scientific Reports)’ 최신호에 게재됐다. 이번 연구 성과는 miR-512-3p 발현 수치를 통해 모야모야병을 진단하고, ‘ARHGEF3’ 유전자를 활용한 치료제 스크리닝 방법에 대한 기술로 국내 특허 등록이 완료됐다.
[서울=뉴시스]
만성 진행성 뇌혈관질환 모야모야병, 뇌졸중 유발
ⓒ뉴시스간단한 혈액 검사만으로도 소아 모야모야병을 조기 진단할 수 있는 길이 열렸다.
서울대병원은 김승기 소아신경외과 교수 연구팀이 소아 모야모야병(MMD)을 혈액 검사만으로 조기에 진단하고 치료 반응을 예측할 수 있는 새로운 바이오마커 ‘miR-512-3p’를 발견했다고 31일 밝혔다.
연구팀은 miR-512-3p 수치가 모야모야병 환자에서 대조군에 비해 현저히 높다는 사실을 밝혔으며 이 바이오마커가 비정상적인 혈관 생성과 밀접하게 연관돼 있음을 확인했다.
모야모야병은 특별한 원인 없이 대뇌에 혈액을 공급하는 내경동맥의 혈관이 서서히 좁아지는 만성 진행성 뇌혈관질환이다. 이로 인해 혈류가 부족해 지고, 부족한 혈류를 보충하려는 비정상적인 미세혈관이 자라나지만, 이 혈관들은 충분한 혈액을 공급하지 못하고 터지기 쉬워 뇌경색 뇌출혈과 같은 심각한 소아 뇌졸중을 유발하게 된다.
기존에는 모야모야병을 확진하기 위해서는 침습적인 뇌혈관 조영술이 표준 검사였고, 이는 소아에게 큰 부담을 줬다. MRI(자기공명영상)·MRA(자기공명혈관조영술)과 같은 비침습적 검사도 있지만, 모야모야혈관을 자세하게 평가하기 어려워 조기 진단에는 한계가 있었다.
연구팀은 모야모야병 환자 23명과 건강한 대조군 13명의 혈액에서 세포외소포(EV)를 분석해 ‘miR-512-3p’라는 바이오마커를 발견했다. 세포외소포는 ‘miRNA’와 같은 유전자 정보를 포함하고 있으며, 세포 간 신호 전달에 중요한 역할을 한다.
연구팀은 ‘miR-512-3p’가 혈관 형성 조절 경로인 ‘RHOA’ 경로에 영향을 미쳐 ‘ARHGEF3’ 유전자의 발현을 억제하고, 이로 인해 혈관 생성을 방해함을 확인했다. ‘miR-512-3p’의 기능을 억제한 후, ‘GTPase’ 활성이 2.3배 증가하고 혈관 형성 능력이 1.7배 향상됐으며, 이는 ‘miR-512-3p’가 모야모야병의 진단 마커일 뿐 아니라, 치료 표적으로서 중요한 역할을 할 수 있음을 시사한다.
miR-512-3p의 진단 정확도는 AUC 0.82로 평가됐으며, 이는 모야모야병의 우수한 진단 정확도를 가진 바이오마커임을 보여준다.
김승기 서울대병원 소아신경외과 교수는 “이번 연구는 혈액 검사를 통해 모야모야병의 조기 진단이 가능하다는 것을 입증한 중요한 연구”라며 “이 바이오마커를 활용해 소아 환자들이 혈액 검사만으로 질병을 조기에 진단받고, 맞춤형 치료를 받을 수 있기를 기대한다”고 말했다.
이번 연구 결과는 국제 학술지 ‘사이언티픽 리포츠(Scientific Reports)’ 최신호에 게재됐다. 이번 연구 성과는 miR-512-3p 발현 수치를 통해 모야모야병을 진단하고, ‘ARHGEF3’ 유전자를 활용한 치료제 스크리닝 방법에 대한 기술로 국내 특허 등록이 완료됐다.
[서울=뉴시스]
비즈N 탑기사
‘책 출간’ 한동훈, 정계 복귀 움직임에 테마株 강세
조선 후기 화가 신명연 ‘화훼도 병풍’ 기념우표 발행
붕괴 교량과 동일·유사 공법 3곳 공사 전면 중지
명동 ‘위조 명품’ 판매 일당 덜미…SNS로 관광객 속였다
“나대는 것 같아 안올렸는데”…기안84 ‘100 챌린지’ 뭐길래- ‘전참시’ 이연희, 득녀 5개월만 복귀 일상…아침 산책+운동 루틴
- 국내 기술로 개발한 ‘한국형 잠수함’ 기념우표 발행
- ‘아파트 지하주차장서 음주운전’ 인천시의원 송치
- 학령인구 감소 탓에 도심지 초교마저 학급 편성 ‘비상’
- 상속인 행세하며 100억 원 갈취한 사기꾼 일당 붙잡혀
[단독]제너시스BBQ 김지훈 대표 물러나…영입된 지 불과 5개월 만에 교체
‘영하 20도’ 최강한파 심장도 떨고 있다…‘이 질환’ 주의
삼성전자, CES 2026서 대규모 단독 전시관 운영… ‘AI 리빙 플랫폼’ 조성
올해 전국 아파트 매매가격 6% 올라 4년 만에 최대…서울은 12.5%
계란 한판 한달새 다시 7000원대… 불안한 ‘서민밥상’- 은행권 10월 대출 연체율 0.58%…전월 대비 0.07%p 상승
- “과자에 반도체 입혔더니”…‘SK하이닉스 과자’ 20만개 팔렸다
- ‘최정훈♥’ 한지민은 현금부자…서래마을 34억 빌라 무대출 매입 재조명
- 붉은 말의 해, 살곶이 벌판을 물들이는 생명의 기운[전승훈 기자의 아트로드]
- “억울한”→“잘못된”…쿠팡, 국문·영문 성명서 표현 차이 왜?





