아침에 커피 대신 ○○ 한 잔…‘구강염증’ 완화에 도움
동아일보
입력 2025-06-23 10:05 수정 2025-06-24 09:55
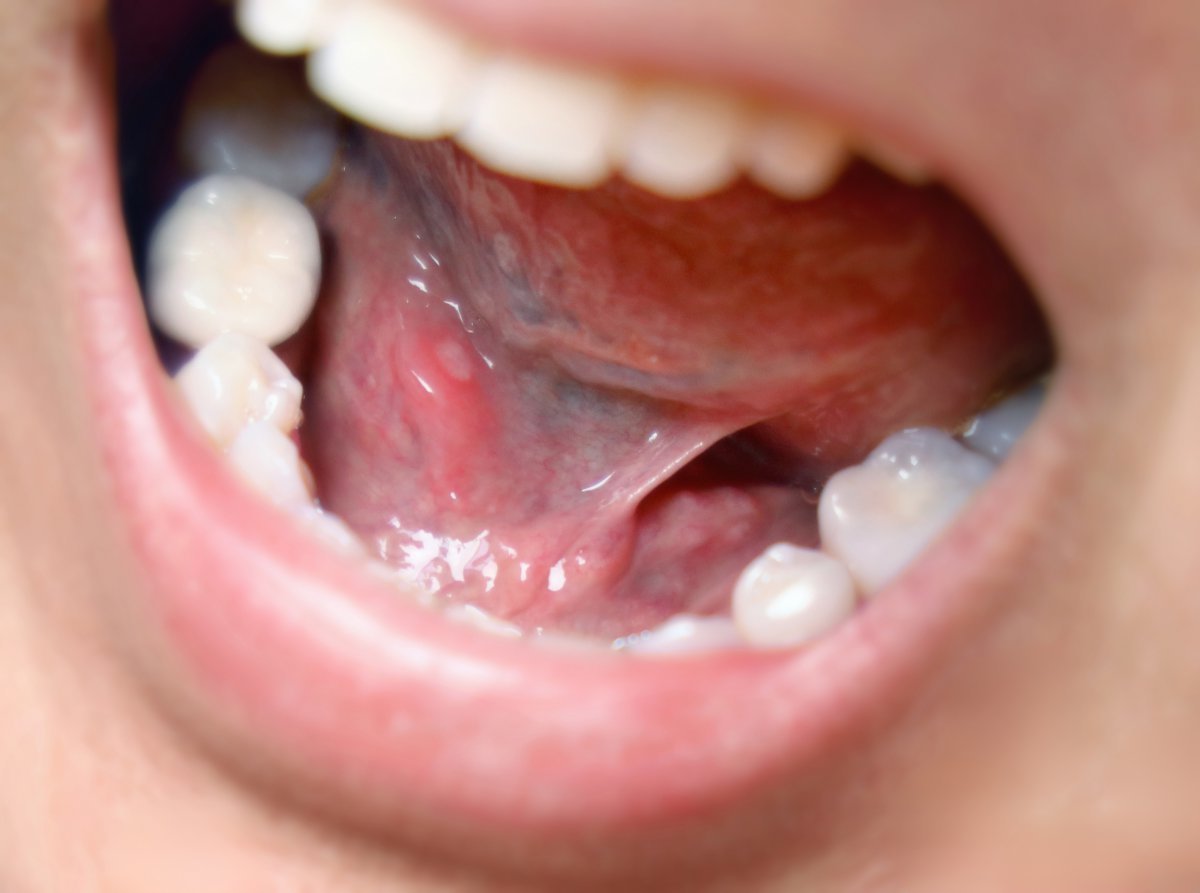
ⓒ뉴시스입안 염증과 잇몸 질환 완화에 ‘숭늉’이 효과적이라는 의견이 나왔다.
최근 건강 전문 유튜브 채널 ‘건강구조대’에 출연한 김영길 한약업사는 숭늉을 대표적인 항산화 식품이자 구강 건강을 지켜주는 자연식품라고 강조했다.
김 한약업사에 따르면 숭늉은 다른 항산화 식품에 비해 부작용이 거의 없고 하루 종일 섭취해도 몸에 부담이 가지 않는 것이 장점이며, 커피나 차처럼 자극적이지 않아 수시로 마시기에 적합하다.
그는 “입안은 녹이 가장 많이 쌓여있는 곳으로, 우리 몸의 만성 염증 중 약 80%는 잇몸 질환과 관련이 있다”며 “숭늉이 이러한 염증을 완화하는 데 효과적”이라고 말했다. 그는 실제 심한 잇몸 염증으로 고생하던 70대 여성의 사례를 언급했다. “한 달도 채 되지 않아 숭늉을 꾸준히 섭취한 결과, 통증과 염증이 눈에 띄게 줄어들었다”고 말했다.
김 한약업사는 만성적인 잇몸 질환을 앓고 있는 경우에 대해서도 “숭늉을 진하게 달여 그 속의 밥알을 꼭꼭 씹고 다시 물로 헹궈내는 것을 수시로 반복하면 이가 빠지는 등 심각한 구강 염증도 완화될 수 있다”라고 설명했다.
그는 실생활에서 손쉽게 적용할 수 있는 숭늉 양치법도 소개했다.
그는 “소금을 10%, 20% 정도를 숭늉물에 넣어서 배합하고 기상 직후, 식후, 자기 전 양치하듯 닦아주면 악성 잇몸 질환들이 낫는 데 효과를 볼 수 있다”며 “처음에는 쓰라리고 아파도 꾸준히 하면 입안 염증이 사라질 것”이라고 조언했다.
김 한약업사는 “잇몸 질환은 단순한 구강 문제를 넘어 전신 염증과도 직결되는 주요 질환”이라며, “약으로 치료되지 않는 경우도 많기 때문에, 평소에 숭늉처럼 **항산화 성분이 풍부한 자연식품을 꾸준히 섭취하는 습관이 매우 중요하다”고 조언했다.
비즈N 탑기사
‘책 출간’ 한동훈, 정계 복귀 움직임에 테마株 강세
조선 후기 화가 신명연 ‘화훼도 병풍’ 기념우표 발행
붕괴 교량과 동일·유사 공법 3곳 공사 전면 중지
명동 ‘위조 명품’ 판매 일당 덜미…SNS로 관광객 속였다
“나대는 것 같아 안올렸는데”…기안84 ‘100 챌린지’ 뭐길래- ‘전참시’ 이연희, 득녀 5개월만 복귀 일상…아침 산책+운동 루틴
- 국내 기술로 개발한 ‘한국형 잠수함’ 기념우표 발행
- ‘아파트 지하주차장서 음주운전’ 인천시의원 송치
- 학령인구 감소 탓에 도심지 초교마저 학급 편성 ‘비상’
- 상속인 행세하며 100억 원 갈취한 사기꾼 일당 붙잡혀
[단독]제너시스BBQ 김지훈 대표 물러나…영입된 지 불과 5개월 만에 교체
‘영하 20도’ 최강한파 심장도 떨고 있다…‘이 질환’ 주의
삼성전자, CES 2026서 대규모 단독 전시관 운영… ‘AI 리빙 플랫폼’ 조성
올해 전국 아파트 매매가격 6% 올라 4년 만에 최대…서울은 12.5%
계란 한판 한달새 다시 7000원대… 불안한 ‘서민밥상’- 은행권 10월 대출 연체율 0.58%…전월 대비 0.07%p 상승
- “과자에 반도체 입혔더니”…‘SK하이닉스 과자’ 20만개 팔렸다
- ‘최정훈♥’ 한지민은 현금부자…서래마을 34억 빌라 무대출 매입 재조명
- 붉은 말의 해, 살곶이 벌판을 물들이는 생명의 기운[전승훈 기자의 아트로드]
- “억울한”→“잘못된”…쿠팡, 국문·영문 성명서 표현 차이 왜?





