“CT 대신 눈 검사로 심혈관질환 진단”… 동아ST, 메디웨일과 AI 헬스케어 사업 협력
김민범 기자
입력 2025-05-14 17:23 수정 2025-05-14 17:30
메디웨일, 의료 AI 솔루션 ‘닥터눈’ 개발
“간편한 눈 검사로 심혈관·안질환 진단·예측”
세브란스병원 등 글로벌 100여 기관서 신뢰도 입증
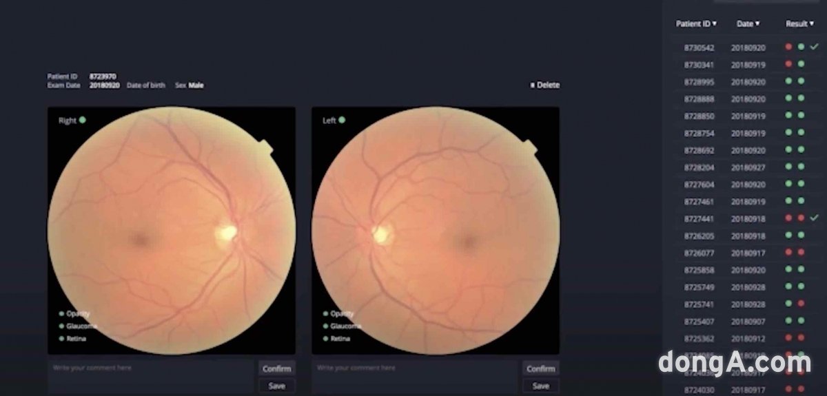
동아ST가 국내 유통을 맡은 메디웨일 닥터눈 CVD 솔루션동아에스티(동아ST)는 의료 분야 인공지능(AI) 전문기업 메디웨일(Mediwhale)과 디지털 헬스케어 사업 협력을 위한 업무협약을 체결했다고 14일 밝혔다.
이번 협약은 동아ST가 보유한 영업·유통 역량 및 인프라와 메디웨일이 보유한 혁신 기술의 시너지를 통해 궁극적으로 의료 서비스 질을 향상시키기 위한 목적으로 추진됐다. 협약에 따라 두 기업은 메디웨일의 망막 기반 심혈관질환 예측 및 안질환 진단 보조 AI 소프트웨어를 전국 의료기관에 공급하기 위해 협력한다는 방침이다.
세부적으로 메디웨일은 ‘닥터눈 CVD’와 ‘닥터눈 펀더스’ 등 주요 솔루션을 동아ST에 공급한다. 동아ST는 국내 병·의원을 대상으로 영업·마케팅 활동을 전개하고 솔루션 유통을 담당한다.
동아ST가 국내 유통을 맡은 메디웨일 닥터눈 CVD 솔루션 장비 구성메디웨일은 간편한 눈 검사만으로 심혈관·대사질환을 예방할 수 있는 의료 AI 솔루션을 개발하는 업체다. 닥터눈 CVD는 망막 촬영만으로 심장CT(컴퓨터 단층촬영)와 유사한 정확도로 심혈관질환 발생 위험을 예측하는 AI 소프트웨어라고 한다. 세브란스병원을 비롯해 두바이 당뇨병 관리 클리닉 글루케어, 이탈리아 네프로센터 산하 로마 아메리칸병원 등 전 세계 100여개 의료기관에서 해당 솔루션을 사용하는 것으로 알려졌다. 닥터눈 펀더스는 안과 질환을 진단 보조하는 AI 소프트웨어다. 망막 이미지를 분석해 망막 이상과 녹내장, 매체 혼탁 등과 같은 안질환을 높은 정확도로 자동 검출하는 기능을 제공한다.
정재훈 동아ST 사장(오른쪽)과 최태근 메디웨일 대표이사가 업무협약을 체결하고 기념사진을 촬영하고 있다.최태근 메디웨일 대표는 “닥터눈은 전 세계 다양한 의료기관에서 실제로 사용되면서 혁신성과 신뢰도를 입증해왔다”며 “국내를 비롯해 보다 많은 환자들에게 새로운 의료기술을 제공해야 하는 시점이라고 판단해 이번에 동아ST와 협력을 추진하게 됐다”고 전했다.
동아ST 관계자는 “전 세계에서 최초로 상용화된 메디웨일의 망막 기반 심혈관질환 AI 솔루션을 국내 의료 시장에 성공적으로 안착시킬 수 있도록 최선을 다할 것”이라며 “앞으로도 의료 현장에서 실질적인 도움을 제공할 수 있는 디지털 헬스케어 솔루션을 지속 확대해 나갈 것”이라고 말했다.
김민범 기자 mbkim@donga.com
“간편한 눈 검사로 심혈관·안질환 진단·예측”
세브란스병원 등 글로벌 100여 기관서 신뢰도 입증
동아ST가 국내 유통을 맡은 메디웨일 닥터눈 CVD 솔루션이번 협약은 동아ST가 보유한 영업·유통 역량 및 인프라와 메디웨일이 보유한 혁신 기술의 시너지를 통해 궁극적으로 의료 서비스 질을 향상시키기 위한 목적으로 추진됐다. 협약에 따라 두 기업은 메디웨일의 망막 기반 심혈관질환 예측 및 안질환 진단 보조 AI 소프트웨어를 전국 의료기관에 공급하기 위해 협력한다는 방침이다.
세부적으로 메디웨일은 ‘닥터눈 CVD’와 ‘닥터눈 펀더스’ 등 주요 솔루션을 동아ST에 공급한다. 동아ST는 국내 병·의원을 대상으로 영업·마케팅 활동을 전개하고 솔루션 유통을 담당한다.

동아ST가 국내 유통을 맡은 메디웨일 닥터눈 CVD 솔루션 장비 구성
정재훈 동아ST 사장(오른쪽)과 최태근 메디웨일 대표이사가 업무협약을 체결하고 기념사진을 촬영하고 있다.동아ST 관계자는 “전 세계에서 최초로 상용화된 메디웨일의 망막 기반 심혈관질환 AI 솔루션을 국내 의료 시장에 성공적으로 안착시킬 수 있도록 최선을 다할 것”이라며 “앞으로도 의료 현장에서 실질적인 도움을 제공할 수 있는 디지털 헬스케어 솔루션을 지속 확대해 나갈 것”이라고 말했다.
김민범 기자 mbkim@donga.com
비즈N 탑기사
‘책 출간’ 한동훈, 정계 복귀 움직임에 테마株 강세
조선 후기 화가 신명연 ‘화훼도 병풍’ 기념우표 발행
붕괴 교량과 동일·유사 공법 3곳 공사 전면 중지
명동 ‘위조 명품’ 판매 일당 덜미…SNS로 관광객 속였다
“나대는 것 같아 안올렸는데”…기안84 ‘100 챌린지’ 뭐길래- ‘전참시’ 이연희, 득녀 5개월만 복귀 일상…아침 산책+운동 루틴
- 국내 기술로 개발한 ‘한국형 잠수함’ 기념우표 발행
- ‘아파트 지하주차장서 음주운전’ 인천시의원 송치
- 학령인구 감소 탓에 도심지 초교마저 학급 편성 ‘비상’
- 상속인 행세하며 100억 원 갈취한 사기꾼 일당 붙잡혀
[단독]제너시스BBQ 김지훈 대표 물러나…영입된 지 불과 5개월 만에 교체
‘영하 20도’ 최강한파 심장도 떨고 있다…‘이 질환’ 주의
삼성전자, CES 2026서 대규모 단독 전시관 운영… ‘AI 리빙 플랫폼’ 조성
올해 전국 아파트 매매가격 6% 올라 4년 만에 최대…서울은 12.5%
계란 한판 한달새 다시 7000원대… 불안한 ‘서민밥상’- 은행권 10월 대출 연체율 0.58%…전월 대비 0.07%p 상승
- “과자에 반도체 입혔더니”…‘SK하이닉스 과자’ 20만개 팔렸다
- ‘최정훈♥’ 한지민은 현금부자…서래마을 34억 빌라 무대출 매입 재조명
- 붉은 말의 해, 살곶이 벌판을 물들이는 생명의 기운[전승훈 기자의 아트로드]
- “억울한”→“잘못된”…쿠팡, 국문·영문 성명서 표현 차이 왜?





