헬스
척추 수술받았는데도 통증 지속…원인은 허리디스크 아닌 ‘이것’?좌골신경통은 허리에서 시작해 다리로 뻗치듯 아픈 증상이 특징으로, 허리디스크를 먼저 의심하기 쉽지만 ‘이상근 증후군(Piriformis Syndrome)’을 또 다른 원인으로 고려해야 한다는 연구 결과가 나왔다.서울성모병원에 따르면 손병철 신경외과 교수팀은 지난 1월 19일 열린 20…2025-03-12 15:43:00
대웅제약, 2년 연속 처방 실적 1조 돌파… ‘검증 4단계’ 전략으로 성장 차별화대웅제약이 2년 연속 국내 원외처방액 1조 원을 돌파하면서 처방 시장에서 입지를 다졌다.대웅제약은 지난해 원외처방액이 총 1조332억 원(유비스트 기준)으로 집계됐다고 12일 밝혔다. 자체 품목과 공동판매(코프로모션) 품목을 포함한 실적이다.적극적인 혁신 신약 개발과 코프로모션 전략이…2025-03-12 15:41:00
교통량 많은 큰 도로 옆 거주자, 치매 위험 10% 더 높아인간의 평균 수명이 증가하면서 치매는 전 세계적인 건강 문제로 부상했다. 고령화 사회로 접어든 한국은 더욱 심각하다. 보건복지부가 12일 발표한 ‘2023년 치매 역학조사’에 따르면 우리나라 65세 이상 노인 인구의 9.25%가 치매를 앓고 있으며, 28.42%는 인지 능력이 저하 돼…2025-03-12 15:15:00
들판에 널린 ‘이 식물’, 노로바이러스 최대 97% 억제국내 식물에서 노로바이러스를 억제하는 성분이 발견돼 기대를 모으고 있다.12일 환경부 소속 국립생물자원관은 지난해 말 연세대 연구진과의 공동연구를 통해 산뱀딸기 추출물이 노로바이러스를 억제하고 면역세포의 생존율을 높이는 사실을 확인했다고 밝혔다.연구진은 노로바이러스에 감염된 면역세포에…2025-03-12 14:53:00
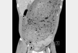
“위장 터질 뻔” 3kg 햄버거 30분 만에 먹은 男…CT 찍어 보니음식 빨리먹기에 도전한 싱가포르 남성이 위가 과도하게 팽창해 터질 뻔한 사례가 최근 국제 의료 학술지에 보고됐다.영국 데일리메일은 11일 소화기병학(Gastroenterology) 저널을 잉용해 싱가포르의 30세 남성이 햄버거 빨리 먹기 대회에 참가했다가 겪은 일을 소개했다.이름이 공…2025-03-12 14:41:00
‘잠 못 이루는 고통’ 불면증…“수면제 대신 ‘이것’ 어때요?”최근 정치적 혼란과 경제적 불확실성으로 잠 못 이루는 사람들이 늘고 있다. 장 건강에 좋은 유익균인 프로바이오틱스를 섭취하는 등 장 건강을 잘 관리하면 숙면에 도움이 된다. 12일 의료계에 따르면 장 건강과 수면은 밀접한 관련이 있다. 장내 세균인 프로바이오틱스를 섭취하면 스트레스가 …2025-03-12 13:34:00
“당뇨 동반 만성 콩팥병 조기진단 중요”… 종근당, 의료진들과 ‘CKD 캠페인’ 전개종근당은 세계 콩팥의 날(3월 13일)을 맞아 만성 콩팥병 조기진단에 대한 인식 제고 일환으로 전국 의료진들과 함께 ‘CKD 캠페인’을 진행했다고 12일 밝혔다.종근당의 경우 바이엘코리아와 2형 당뇨병 동반 만성 콩팥병 치료제 ‘케렌디아(성분명 피네레논)’를 공동 판매하고 있다. 말기…2025-03-12 12:03:00
레드와인 ‘암 예방’ 통설 와르르…화이트와인과 차이 無레드 와인 애호가들은 매혹적인 붉은색 포도 발효 알코올 음료가 다른 술과 달리 건강에도 유익하다는 믿음을 갖고 있다. 적포도에 풍부하게 함유된 폴리페놀이라는 화합물이 항산화·항염 효과가 있다는 데 기반 한다. 하지만 카베르네 소비뇽이나 말벡이 쇼비뇽 블랑이나 샤르도네보다 건강상 이…2025-03-12 11:48:00
OECD 평균보다 18% 부족한 한국인 수면 시간…“수면 건강에 대한 인식 바뀌어야”14일은 세계수면학회가 수면에 대한 올바른 이해와 관련 질환 예방의 중요성을 알리기 위해 정한 ‘세계 수면의 날’이다. 매년 3월 한국 등 70여개 세계수면학회 회원국에서 기념 행사가 열린다. 대한수면연구학회는 최근 한국인의 수면 시간, 수면부족에 따른 위험성 등 다양한 수면 통계를 …2025-03-12 11:05:00
“애 돌보려 약 끊었다가…” 손녀 살해 할머니 선처호소소녀를 베개로 눌러 살해하고 손자를 깨물어 다치게한 50대 여성이 항소심 재판에서 선처를 호소했다. 사건 당시 이 여성은 정신질환을 앓고 있었다.지난 11일 대전고법 형사3부(부장판사 김병식)는 아동 학대 범죄의 처벌 등에 관한 특례법(아동학대살해) 등 혐의로 기소된 A 씨(54)의 …2025-03-12 10:31:00
안면 변형 美 TV스타 “얼굴에 ‘기생충’…제발 도와주세요”미국의 TV 스타 브란디 그란빌레(Brandi Glanville)가 자신의 얼굴 변형 원인과 해결책을 찾기를 간절히 원하고 있다며 답답한 심정을 토로했다.TV 리얼리티 쇼 ‘비벌리힐스의 진짜 주부들’(the Real Housewives of Beverly Hills)에 출연해 인기를 …2025-03-12 09:34:00
“580만원 주고 모발이식했는데”…이마에 커다란 흉터 생긴 英 남성영국에서 사는 50대 남성이 모발이식 시술을 받았다가 부작용으로 이마에 큰 흉터가 남게 됐다.지난 9일(현지시간) 영국의 일간지 ‘더 선’에 따르면 영국 글래스고에 사는 57세 마크 스위니가 최근 현지의 ‘머천트 시티 메디컬’(Merchant City Medical)이라는 곳에서 모발…2025-03-12 07:00:00
“묵은 변을 부드럽게”… 차전자피 식이섬유 하루 한 포로 쾌변‘변을 보기는 하는데 늘 찜찜하게 남아 있어요.’ ‘나올 때까지 하염없이 앉아 있어요.’ 아무리 기다려도 소식 없는 노인성 변비의 주원인은 장 기능 저하다. 젊었을 때는 자연스럽게 움직이던 장이 점점 게을러지고 연동운동이 느려지면서 변이 장에 오래 머무는 서행성 변비가 대표적이다. 변…2025-03-12 03:00:00
가늘고 끊기는 소변, 전립선비대증… 좌욕하면 최대 82% 호전전립선비대증은 중년 남성에게 흔한 질병이지만 증상들이 모두 배뇨나 성기능과 관련이 있다 보니 증상이 있어도 쉽게 털어놓지 못하고 적절한 치료 없이 방치하는 경우가 많다. 대한비뇨의학회 설문조사에 따르면 전립선비대증 환자 절반 이상(69.9%)이 나이 들면 자연스럽게 나타나는 증상이라는…2025-03-12 03:00:00
‘시큰 찌릿’ 무릎 관절염… 콘드로이친으로 미리 연골 관리하세요《평소 건강을 자부하며 마라톤이나 등산 같은 운동을 즐기던 중년층도 어느 날 갑자기 찾아온 시큰하고 찌릿한 통증에 무릎을 부여잡게 된다. 퇴행성관절염의 주원인은 노화로 60세를 전후해 많이 발생하기 때문에 나이 들수록 관리는 필수적이다. 그런데 운동 후에 나타난 일시적인 통증이라 생각…2025-03-12 03:00:00
비즈N 탑기사
‘책 출간’ 한동훈, 정계 복귀 움직임에 테마株 강세
조선 후기 화가 신명연 ‘화훼도 병풍’ 기념우표 발행
붕괴 교량과 동일·유사 공법 3곳 공사 전면 중지
명동 ‘위조 명품’ 판매 일당 덜미…SNS로 관광객 속였다
“나대는 것 같아 안올렸는데”…기안84 ‘100 챌린지’ 뭐길래- ‘전참시’ 이연희, 득녀 5개월만 복귀 일상…아침 산책+운동 루틴
- 국내 기술로 개발한 ‘한국형 잠수함’ 기념우표 발행
- ‘아파트 지하주차장서 음주운전’ 인천시의원 송치
- 학령인구 감소 탓에 도심지 초교마저 학급 편성 ‘비상’
- 상속인 행세하며 100억 원 갈취한 사기꾼 일당 붙잡혀
쿠팡 김범석, 정보유출 한달만에 맹탕 사과문… 청문회 또 불출석
코스피 올 들어 72% 상승… 올해 ‘동학개미’ 수익률, ‘서학개미’ 제쳤다
은행 골드바-金통장 실적 역대 최대… 실버바 판매는 작년 38배
車보험료 5년만에 오를 듯… 내년 1%대 인상 검토
‘서학개미 복귀’ RIA 계좌, 채권형-예금도 稅혜택 검토- 프랜차이즈 치킨집 3만개 처음 넘어… 매년 1000개꼴 늘어나
- ‘영하 20도’ 최강한파 심장도 떨고 있다…‘이 질환’ 주의
- 내년도 주택 매입 의향 70% 육박…내 집 마련 관심 여전
- 국립고궁박물관 ‘일본의 궁정문화’ 특별전
- [단독]제너시스BBQ 김지훈 대표 물러나…영입된 지 불과 5개월 만에 교체





